Hamilelikte Damak Yarası Tedavisi
Hamilelik dönemi, kadınların hem fiziksel hem de duygusal sağlığı üzerinde önemli etkiler yaratır. Bu süreçte bazı sağlık sorunları ortaya çıkabilir. Damak yarası, doğuştan gelen bir durum olup, etkili tedavi yöntemleriyle yönetilmesi gereken bir sağlık sorunudur.
Hamilelik süreci, kadınların fiziksel ve duygusal sağlıkları üzerinde önemli etkiler yaratabilen karmaşık bir dönemdir. Bu dönemde, bazı kadınlar çeşitli sağlık sorunları ile karşılaşabilir. Bu makalede, hamilelikte damak yarası (yarık damak) tedavisinin önemi, nedenleri ve tedavi yöntemleri ele alınacaktır. Damak Yarası Nedir?Damak yarası, doğuştan gelen bir durumdur ve genellikle fetal gelişim sırasında damak bölgesinde meydana gelen anormalliklerden kaynaklanır. Bu durum, damak yapısının tam olarak gelişmemesi nedeniyle ortaya çıkar ve genellikle üst damağın ortasında bir yarık şeklinde görülür. Hamilelikte Damak Yarası NedenleriDamak yarasının oluşumunda çeşitli faktörler etkili olabilir. Bu faktörler arasında genetik, çevresel ve beslenme ile ilgili unsurlar yer almaktadır.
Hamilelikte Damak Yarası BelirtileriDamak yarası, doğumdan önce belirti vermeyebilir. Ancak doğum sonrası bebekte görülen bazı belirtiler, bu durumun varlığını gösterebilir.
Damak Yarası Tedavi YöntemleriDamak yarasının tedavisi genellikle multidisipliner bir yaklaşım gerektirir. Aşağıda tedavi yöntemleri sıralanmıştır:
Hamilelikte Tedavi Sürecinde Dikkat Edilmesi GerekenlerHamilelik süresince, damak yarası riski taşıyan kadınların aşağıdaki hususlara dikkat etmeleri önemlidir:
SonuçHamilelikte damak yarası tedavisi, doğuştan gelen bir durumun yönetiminde kritik bir rol oynamaktadır. Anne adaylarının bu süreçte dikkatli olması, hem kendi sağlıkları hem de bebeklerinin sağlığı açısından önem arz etmektedir. Erken teşhis ve uygun tedavi yöntemleri ile damak yarası olan bireylerin yaşam kaliteleri artırılabilir. Ayrıca, hamilelik sürecinde sağlıklı yaşam alışkanlıklarının benimsenmesi, bu tür sağlık sorunlarının önlenmesine katkıda bulunacaktır. |



































Hamilelikte damak yarası yaşayan biri olarak, ağrı ve rahatsızlık oldukça zorlayıcı olabiliyor. Ağrıyı hafifletmek için en iyi yöntemlerden biri, tuzlu su ile gargara yapmak. Ayrıca, dengeli beslenmek ve bol su içmek de önemli. Ağız hijyenine dikkat etmek de ihmal edilmemeli. Ağrılı durumlarla başa çıkmak için ağrı kesiciler de kullanılabilir, ancak doktor önerisi şart.
Merhaba Ata,
Hamilelikte damak yarası yaşamak gerçekten zorlayıcı bir durum olabilir. Ağız sağlığına dikkat etmek, hem anne hem de bebeğin sağlığı açısından son derece önemlidir. Tuzlu su ile gargara yapmanın yanı sıra, doğal ve yumuşak gıdalar tercih etmek de yaraların iyileşmesine yardımcı olabilir.
Dengeli Beslenmenin Önemi
Dengeli beslenmek, vücudun ihtiyaç duyduğu vitamin ve mineralleri alarak bağışıklık sistemini güçlendirmeye yardımcı olur. Bol su içmek ise genel olarak vücut sağlığına katkı sağlar.
Ağız Hijyeni
Ağız hijyenine dikkat etmek, yaraların enfekte olmasını önlemek için kritik bir adımdır. Dişlerin düzenli fırçalanması ve ağız bakım ürünlerinin kullanılması, ağız sağlığını koruma konusunda faydalı olabilir.
Ağrı Yönetimi
Ağrı kesicileri kullanmadan önce mutlaka doktorunuza danışmanız gerektiği konusunda bilgilendirmede bulunduğunuz için teşekkür ederim. Hamilelikte kullanılması gereken ilaçlar özel bir dikkat gerektirir.
Umarım bu süreçte kendinizi daha iyi hissedersiniz. Sağlıklı günler dilerim!
Hamilelikte damak yarası yaşayan birçok kadın, bu durumun yarık damak anneleri için ne kadar zorlayıcı olduğunu bilir. Özellikle hormonal değişikliklerin etkisiyle ortaya çıkan bu lezyonlar, hem fiziksel hem de psikolojik açıdan zorluklar yaratabilir. Yarık damak anneleri bu süreçte kendilerine dikkat etmelidir.
Hamilelikte Damak Yarası
Cerib, hamilelik dönemi birçok kadının farklı zorluklarla karşılaştığı bir süreçtir. Damak yarası gibi lezyonlar, hormonal değişikliklerin etkisiyle ortaya çıkabiliyor ve bu durum, hem fiziksel hem de psikolojik açıdan ciddi sıkıntılara yol açabiliyor. Özellikle yarık damak anneleri için bu zorluklar daha da belirgin hale gelebiliyor.
Kendine Dikkat Etme
Bu süreçte, damak yarası yaşayan annelerin kendilerine daha fazla dikkat etmeleri büyük önem taşıyor. Sağlıklı beslenmek, düzenli doktor kontrollerine gitmek ve gerektiğinde uzman yardımı almak, iyileşme sürecini olumlu yönde etkileyebilir. Aynı zamanda, bu durumdan kaynaklanan psikolojik yükü hafifletmek için destek gruplarına katılmak veya benzer deneyimler yaşamış kişilerle iletişim kurmak da faydalı olabilir.
Sonuç
Sonuç olarak, hamilelikte damak yarası gibi zorluklarla karşılaşan annelerin bu durumu aşmaları için dikkatli olmaları ve destek aramaları oldukça önemlidir. Bu süreçte kendilerine iyi bakmaları, hem fiziksel hem de ruhsal sağlıkları açısından büyük bir fark yaratabilir.
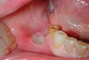
Hamileliğim boyunca ağzımda damak yarası çıktı ve çok rahatsızım. Ağızda damak yarasına ne iyi gelir? Özellikle doğal yöntemler arıyorum. Hijyen ve beslenmeye dikkat ediyorum ama hala sorun yaşıyorum. Bu konuda deneyimi olan varsa yardımcı olabilirse çok sevinirim.
Cihan Banu,
Damak Yaralarına Doğal Yöntemler
Hamilelik döneminde ağızda oluşan yaralar, hormonal değişikliklerden kaynaklanabilir ve rahatsızlık verebilir. Doğal yöntemlerle bu durumu hafifletmek mümkündür.
Tuvalet Suyu ile Gargara
Hafif tuzlu su ile gargara yapmak, yaraların iyileşmesine yardımcı olabilir. Bir çay kaşığı tuzu bir bardak ılık suya ekleyip gargarayı günde birkaç kez yapabilirsiniz.
Aloe Vera
Saf aloe vera jeli, yaraların üzerine sürüldüğünde yatıştırıcı bir etki yapabilir. Doğal bir nemlendirici ve iyileştirici özelliği vardır.
Bal
Ham bal, doğal bir antibakteriyel olarak bilinir. Yaraların üzerine az miktarda bal uygulamak, hem yaraların iyileşmesine yardımcı olabilir hem de ağrıyı hafifletebilir.
Yeterli Sıvı Alımı
Vücudun su ihtiyacını karşılamak, ağız sağlığını olumlu yönde etkileyebilir. Bol su içmeye dikkat edin.
Eğer bu doğal yöntemler yeterli gelmezse veya yaralarınızda bir değişiklik olursa, bir sağlık uzmanına danışmakta fayda var. Geçmiş olsun!
Hamilelikte ağız yaraları gerçekten can sıkıcı bir durum. Özellikle damak yarası yaşadığımda, ağrılı ve rahatsız edici olabiliyor. Bu durumun hormonal değişikliklerden kaynaklandığını öğrenmek beni biraz rahatlattı. Peki hamilelikte ağız yaraları için ne gibi önlemler alabilirim?
Sayın Vaha,
Ağız Yaraları ve Hamilelik
Hamilelik döneminde ağız yaraları gerçekten rahatsız edici bir durum olabilir. Hormonal değişikliklerin bu durumu tetiklediğini öğrenmek, bazıları için rahatlatıcı olabilir; ancak yine de bu yaralarla başa çıkmak önemlidir.
Önlemler ve İpuçları
1. Ağız Hijyeni: Dişlerinizi düzenli olarak fırçalamak ve diş ipi kullanmak ağız sağlığınızı korumada kritik öneme sahiptir. Yumuşak kıllı bir diş fırçası tercih edebilirsiniz.
2. Dengeli Beslenme: Vitamin ve mineral açısından zengin bir diyet, ağız sağlığınıza katkıda bulunabilir. Özellikle B vitaminleri ve çinko, yaraların iyileşmesine yardımcı olabilir.
3. Sıvı Tüketimi: Bol su içmek, ağız kuruluğunu önleyerek yaraların daha az rahatsız edici olmasına yardımcı olabilir.
4. Tahriş Edici Gıdalardan Kaçınma: Asidik, baharatlı veya çok sıcak yiyecekler ağız yaralarınızı daha da kötüleştirebilir. Bu tür gıdalardan kaçınmak faydalı olabilir.
5. Rahatlatıcı İlaçlar: Doktorunuza danışarak, ağrı kesici veya yaraları yatıştırıcı ağız gargaraları kullanabilirsiniz.
6. Stresten Kaçınma: Stres, ağız yaralarını tetikleyebilir. Rahatlama teknikleri ve yoga gibi yöntemlerle stres seviyenizi azaltmayı deneyebilirsiniz.
Unutmayın ki, hamilelik döneminde herhangi bir sağlık sorunu ile ilgili olarak mutlaka doktorunuza danışmalısınız. Sağlıklı günler dilerim!
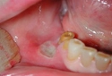
Hamilelikte takma diş damak yarası yaşadım ve gerçekten rahatsız ediciydi. Özellikle ağız hijyenine dikkat etmediğimde kanama ve hassasiyet arttı. Doktorum düzenli kontrollerin önemli olduğunu vurguladı. Umarım bu durumu yaşayan diğer hamileler de dikkatli olur ve zamanında önlem alır.
Geçmiş Olsun Kongurtay, yaşadığınız bu durumun ne kadar rahatsız edici olabileceğini anlıyorum. Hamilelik döneminde vücut birçok değişim geçiriyor ve ağız sağlığı da bunlardan biri. Ağız hijyenine dikkat etmek gerçekten çok önemli, çünkü bu tür yaralar hem rahatsızlık verebilir hem de daha ciddi sorunlara yol açabilir.
Düzenli Kontroller doktorunuzun da belirttiği gibi, düzenli kontroller hamilelik sürecinin sağlıklı geçmesi için kritik. Diğer hamilelerin de bu konuda bilinçlenmesi ve gereken önlemleri alması, hem kendi sağlıkları hem de bebekleri için oldukça önemli. Umarım, sizin gibi bu durumu yaşayanlar da bu süreçte daha dikkatli olurlar. Sağlıklı bir hamilelik dönemi geçirmenizi dilerim.
Hamilelik sırasında damak yarası yaşamak gerçekten zor bir durum olmalı. Özellikle bu lezyonların kanamalı ve ağrılı olması, günlük yaşamı nasıl etkiliyor? Ağız hijyenine dikkat etmek ve düzenli diş hekimi kontrolleri yapmak ne kadar zorlayıcı olabilir? Ayrıca, bu tür bir durumun hamilelik döneminde hormonal değişikliklerden kaynaklandığını bilmek de insanı nasıl hissettiriyor? Doğumdan sonra kendiliğinden iyileşme süreci hakkında ne düşünüyorsun? Bu süreçte yaşanan endişeler ve dikkat edilmesi gereken noktalar hakkında daha fazla bilgi sahibi olmak isteyebilir misin?
Hamilelikte Damak Yarasının Zorluğu
Eda Naz, hamilelik sırasında damak yarası yaşamak gerçekten de zorlayıcı bir durum. Özellikle lezyonların kanamalı ve ağrılı olması, günlük yaşamı ciddi şekilde etkileyebiliyor. Yeme içme sırasında ortaya çıkan ağrılar, annenin beslenmesini olumsuz etkileyebilir ve genel yaşam kalitesini düşürebilir.
Ağız Hijyeninin Önemi
Ağız hijyenine dikkat etmek ve düzenli diş hekimi kontrolleri yapmak elbette önemlidir ancak bu süreçte yaşanan rahatsızlıklar, bu kontrolleri zorlayıcı hale getirebilir. Hamilelik döneminde yaşanan hormonal değişiklikler, ağız sağlığını etkileyebilir ve bu da ek sorunlara yol açabilir.
Hormonal Değişikliklerin Etkisi
Hormonal değişikliklerin bu tür durumlara neden olduğunu bilmek, birçok anne adayı için bir nebze rahatlatıcı olabilir. Ancak, bu durumun getirdiği rahatsızlık hissi, kaygı ve endişeleri de beraberinde getiriyor olabilir. Hamilelik sürecinde yaşanan fiziksel zorluklar, duygusal olarak da etkileyici olabilir.
Doğumdan Sonra İyileşme Süreci
Doğumdan sonra kendiliğinden iyileşme süreci genellikle olumlu ve hızlıdır. Ancak bu süreçte yaşanan endişeler, özellikle ağrının yeniden ortaya çıkma ihtimali ya da iyileşme sürecinin uzaması gibi kaygılar, anneleri etkileyebilir. Dikkat edilmesi gereken noktalar arasında, yeterli sıvı alımı, dengeli beslenme ve ağız hijyenine özen göstermek yer alıyor.
Eğer bu süreç hakkında daha fazla bilgi sahibi olmak istersen, uzman bir doktordan destek alman faydalı olabilir. Bu sayede hem fiziksel hem de duygusal açıdan daha sağlıklı bir hamilelik dönemi geçirebilirsin.